คลินิกทันตกรรม ทำฟันราคาถูก จัดฟัน ฟอกสีฟัน
คลินิกทันตกรรมมหาวิทยาลัยพายัพ
ครบวงจรในเชียงใหม่
อยากมีรอยยิ้มสวยๆ แต่กังวลเรื่องค่าใช้จ่ายใช่ไหม?



เกี่ยวกับเรา
ประวัติความเป็นมาคลินิกทันตกรรม
“26 พฤศจิกายน 2567 คลินิกทันตกรรม มหาวิทยาลัยพายัพ เกิดขึ้นจาก ดร.วีระ สิริเสรีภาพ ผู้อำนวยการสำนักงานวิทยาลัย มหาวิทยาลัยมหาจุฬาลงกรณราชวิทยาลัย วิทยาเขตเชียงใหม่ ในขณะนั้น”
ได้มีความดำริที่จะจัดระบบสวัสดิการด้านทันตกรรม แก่ให้กับผู้บริหาร บุคลากร นักศึกษา มหาวิทยาลัย จึงได้เชิญคุณปฐมสิทธิ์ สินปิติธนานนท์ ซึ่งมีประสบการณ์ด้านการบริหารจัดการคลินิคทันตกรรมมาก่อนเป็นที่ปรึกษา หลังจากนั้นจึงได้นำเสนอแผนการบริหารจัดการแก่อธิการบดีมหาวิทยาลัยพายัพ อาจารย์อภิชา อินสุวรรณ์และคณะผู้บริหารมหาวิทยาลัย เพื่อขออนุมัติใช้นามมหาวิทยาลัยเพื่อการดำเนินงานภายใต้เชื่อว่า คลินิกทันตกรรมมหาวิทยาลัยพายัพ โดยมีพลตรีนิรันดร์ชัย ทิพย์กาญจนกุล และคุณกชกร สุวรรณชิต เป็นผู้ร่วมก่อตั้ง และได้จดทะเบียน บริษัท วีคลินิกเชียงใหม่ จำกัด ร่วมกับสำหรับบริหารธุรกิจคลินิกทันตกรรมและเวชกรรมตั้งแต่ต้นปี 2568 โดยเริ่มให้บริการตั้งแต่เดือนตุลาคม 2568 เป็นต้นมา
คลินิกทันตกรรม มหาวิทยาลัยพายัพ เชียงใหม่
P.Y.U. Dental Clinic
Quality Care for Your Smile


คลินิกทันตกรรม มหาวิทยาลัยพายัพ เชียงใหม่
รายการสิทธิประโยชน์
ทันตกรรมส่งเสริมป้องกัน
สิทธิประกันสังคม

ผู้มีสิทธิประกันสังคม (มาตรา 33) ลูกจ้างที่มีอายุไม่ต่ำกว่า 15 ปีบริบูรณ์และไม่เกิน 60 ปีบริบูรณ์ แต่ถ้า ลูกจ้างอายุครบ 60 ปีบริบูรณ์ แต่นายจ้างยังจ้างให้ทำงานต่อให้ถือเป็นผู้ประกันตนต่อไป
สิทธิบัตรทอง

ผู้มีสิทธิหลักประกันสุขภาพแห่งชาติหรือบัตรทอง 30 บาท ที่มีปัญหาทันตกรรม สามารถเข้ารับบริการ ณ สถานพยาบาลประจำตามสิทธิได้แล้ว เพียงแสดงบัตรประชาชนให้กับคลินิกหรือสถานพยาบาล
P.Y.U. Dental Clinic
คลินิกทันตกรรม มหาวิทยาลัยพายัพ เชียงใหม่
คลินิกทันตกรรมที่ใส่ใจทุกรอยยิ้มของคุณรอยยิ้มที่สดใสและมั่นใจคือเสน่ห์ที่สำคัญที่สุดของคุณ ที่ P.Y.U. Dental เราเชื่อว่าสุขภาพช่องปากที่ดีเริ่มต้นจากการดูแลอย่างมีคุณภาพ เราจึงมอบบริการที่มากกว่าแค่การรักษา แต่คือ “Quality Care for Your Smile” ในทุกขั้นตอน

1.
ติดต่อนัดหมาย สอบถาม
คลินิกทันตกรรมมหาลัยพายัพ เชียงใหม่ โทร 082-164-8855

2.
เครื่องมือที่ทันสมัย
เครื่องมือที่ทันสมัยเพื่อให้คุณได้การรักษาที่ดีที่สุด

3.
เรื่องฟัน ยกให้เราดูแล
เรามั่นใจถึงผลงานที่ทุกท่านจะได้รับเมื่อก้าวเข้ามาที่คลินิกฯ

ที่ P.Y.U Dental
ทุกคน ต้องฟันดี !
ดูแลช่องปากง่าย ง่าย ที่คลินิกทันตกรรมมหาวิทยาลัยพายัพ
ฟันสวย ไม่ต้องรอ
จัดฟันเริ่มต้น
4,500 บาท
โปรโมชั่นเปิดสาขาใหม่
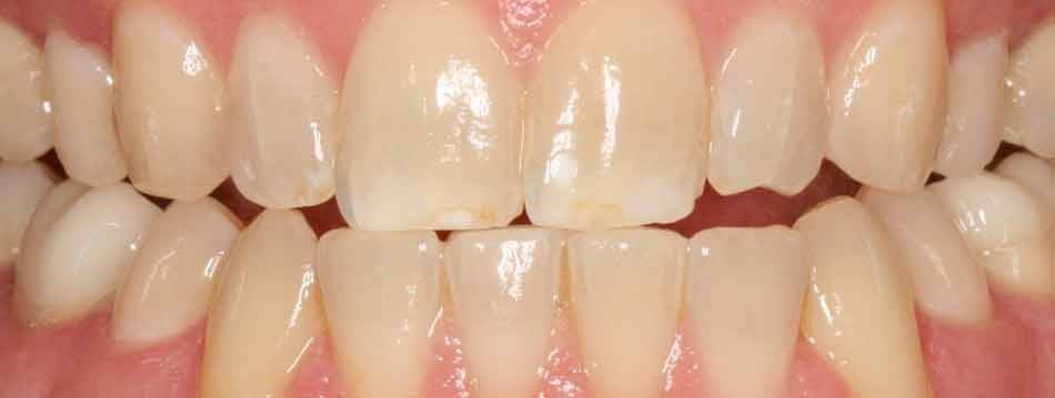
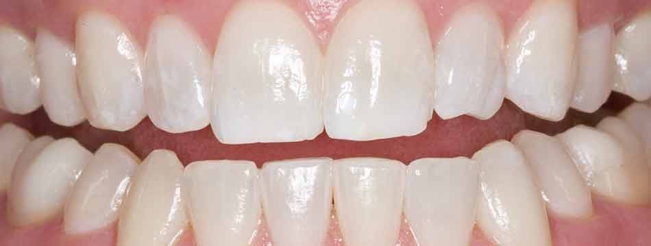
ฟอกสีฟันลดเหลือ
3,990 บาท
จาก 8,990 บาท
หมดเขต 31 ธ.ค. 2568 นี้เท่านั้น


“ทุกคนนั้น ต้องฟันดี‼️ ดูแลช่องปากง่าย ๆ ที่ P.Y.U. Dental ✓ ขูดหินปูน อุดฟัน ถอนฟัน จัดฟัน ✓ ทำรีเทนเนอร์ ✓ ตรวจสุขภาพช่องปากฟรี ✓”
“ ยิ้มได้…ไม่ต้องจ่าย! ทำฟัน “ฟรี” ง่ายๆ แค่มีบัตรประชาชน รู้ไหม? คุณมี “สิทธิ์ทำฟันฟรี” ที่หลายคนยังไม่เคยใช้เลยนะ!”
โดยทีมแพทย์ผู้เชียวชาญ
เพราะที่ P.Y.U. Dental เราอยากให้ทุกคนมีสุขภาพช่องปากที่ดี
เปิดบริการทุกวัน ตั้งแต่ 10 โมง ถึง 2 ทุ่ม มีที่จอดรถมากกว่า 100 คัน
ภาพกิจกรรมต่าง ๆ
ที่ P.Y.U Dental
Contact Us
ติดต่อเราวันนี้ เพื่อรับคำปรึกษาฟรี!
บริการของเรา
เราให้บริการทันตกรรมครบวงจรเพื่อให้คุณมีรอยยิ้มที่สมบูรณ์แบบที่สุด:
การจัดฟัน ไม่ว่าจะเป็นจัดฟันแบบโลหะ, จัดฟันใส หรือ Retainer เรามีแผนการรักษาที่เหมาะสมกับคุณ
ฟอกสีฟัน เปลี่ยนฟันที่หมองคล้ำให้กลับมาขาวสดใสอย่างปลอดภัยและเห็นผลจริง
ทันตกรรมทั่วไป ดูแลสุขภาพช่องปากของคุณด้วยบริการ อุดฟัน, ขูดหินปูน และถอนฟัน
โทรหาเราเพื่อนัดหมาย!
082-164-8855
แผนที่ คลินิกทันตกรรมมหาวิทยาลัยพายัพ
เลขนิติบุคคล 0505568006453
เลขที่ 272 หมู่ที่2 ถนนเชียงใหม่-ลำปาง ตำบลสันพระเนตร อำเภอสันทราย จังหวัดเชียงใหม่ 50210
อังคาร
พุธ
พฤหัสบดี
ศุกร์
เสาร์
อาทิตย์
10.00 – 20:00 น.
10.00 – 20:00 น.
10.00 – 20:00 น.
10.00 – 20:00 น.
10.00 – 20:00 น.
10.00 – 20:00 น.









